Back to top

Suns damage

Suns damage

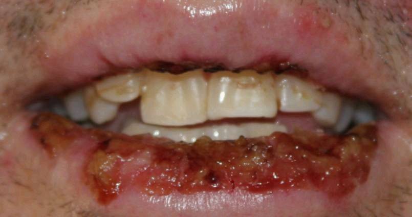
The sun damage that efudix will bring to the surface and destroy - most of it you never knew you had!

Discussed in these Forum posts:

lancekenny
lancekenny
Profile | Uploads | Watching
Details
Shared on 5/15/2008
Return To Classic site